Accueil
Ma prothèse totale de cheville
Le site du Docteur TOULLEC
C'est le chirurgien qui m'a opéré le 26/07/2011
(Spécialiste de la prothèse de cheville à BORDEAUX . )
C'est la prothèse qui m'a été implantée
Vous pouvez télécharger toute la documentation de cette prothèse au format PDF.
Un résumé de mon opération
Coeur sensible s'abstenir...voir la vdéo d'un opération.
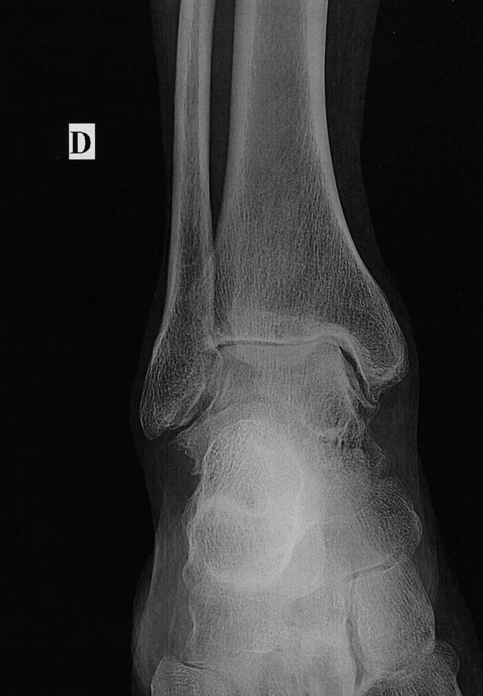
Avant...Aprés (vue de face)
Cliquer sur la photo
Avant...Après (vue de coté)
Cliquer sur la photo
Retour ...au bercail
Cliquer sur la photo
Retour
Webmaster BILLY Jacky Ronce les Bains 17390 LA TREMBLADE