Accueil
|
album
|
Voir la vidéo d'une opération
|
Compte-rendu de mon opération
|
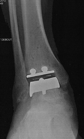
Ma prothèse
Avant l'opération
Aprés l'opération
La dernière radio
Le résultat de mon opération
Publié par Jacky BILLY - 14/09/2011
Retour
Webmaster Jacky BILLY Ronce les bains 17390 LA TREMBLADE